Implanty zębowe w Warszawie cieszą się rosnącą popularnością, a ich zalety przyciągają coraz więcej pacjentów. Przede wszystkim, implanty oferują trwałe i estetyczne rozwiązanie dla osób, które straciły zęby. W przeciwieństwie do tradycyjnych protez, które mogą być niewygodne i wymagać częstej wymiany, implanty są osadzone w kości szczęki, co zapewnia stabilność i naturalny wygląd. Dodatkowo, implanty pomagają w zachowaniu struktury kostnej szczęki, co jest kluczowe dla zdrowia jamy ustnej. Kolejną zaletą jest to, że nie wymagają one szlifowania sąsiednich zębów, co jest często konieczne w przypadku mostów protetycznych. Pacjenci korzystający z implantów mogą cieszyć się pełną funkcjonalnością zgryzu, co pozwala na komfortowe jedzenie i mówienie.
Jak wygląda proces zakupu implantów zębowych w Warszawie
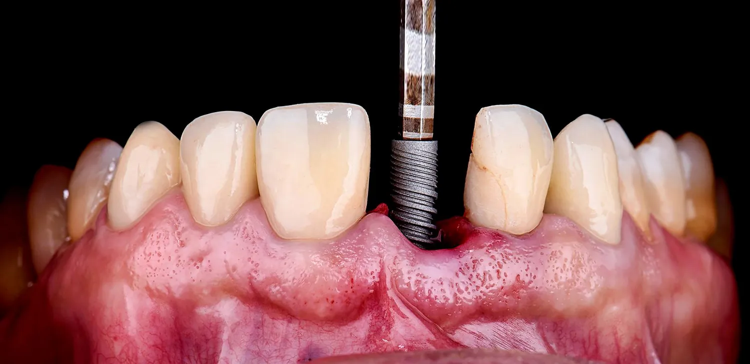
Proces zakupu implantów zębowych w Warszawie zaczyna się od konsultacji ze specjalistą. Podczas pierwszej wizyty lekarz przeprowadza szczegółowy wywiad medyczny oraz ocenia stan zdrowia jamy ustnej pacjenta. Ważnym krokiem jest wykonanie zdjęć rentgenowskich lub tomografii komputerowej, które pozwalają na dokładną ocenę warunków anatomicznych do wszczepienia implantu. Po analizie wyników lekarz przedstawia pacjentowi plan leczenia oraz koszty związane z zabiegiem. Warto zaznaczyć, że ceny implantów mogą się różnić w zależności od wybranej kliniki oraz użytych materiałów. Gdy pacjent zdecyduje się na zabieg, następuje jego realizacja, która zazwyczaj odbywa się w dwóch etapach: najpierw wszczepienie implantu do kości, a następnie umieszczenie korony protetycznej na implancie po okresie gojenia.
Co warto wiedzieć przed decyzją o wszczepieniu implantów zębowych w Warszawie

Decyzja o wszczepieniu implantów zębowych w Warszawie to ważny krok, który wymaga przemyślenia wielu aspektów. Przede wszystkim warto zwrócić uwagę na doświadczenie lekarza oraz renomę kliniki. Dobrze jest poszukać opinii innych pacjentów oraz zapoznać się z wynikami wcześniejszych zabiegów przeprowadzonych przez danego specjalistę. Kolejnym istotnym czynnikiem jest koszt zabiegu – warto porównać oferty różnych placówek oraz upewnić się, jakie materiały będą użyte do wykonania implantu i korony. Należy również pamiętać o ewentualnych przeciwwskazaniach zdrowotnych do przeprowadzenia zabiegu, takich jak choroby przyzębia czy problemy z krzepliwością krwi. Przed podjęciem decyzji warto także skonsultować się z lekarzem rodzinnym lub innym specjalistą w celu uzyskania pełnej informacji na temat stanu zdrowia jamy ustnej oraz możliwości przeprowadzenia zabiegu.
Jak długo trwa proces gojenia po wszczepieniu implantów zębowych w Warszawie
Proces gojenia po wszczepieniu implantów zębowych w Warszawie jest kluczowym etapem całej procedury i może trwać różnie w zależności od indywidualnych predyspozycji pacjenta oraz zastosowanej metody leczenia. Zazwyczaj czas gojenia wynosi od kilku tygodni do kilku miesięcy, a jego długość zależy od jakości kości szczęki oraz ogólnego stanu zdrowia pacjenta. W pierwszym etapie gojenia dochodzi do integracji implantu z kością, co jest kluczowe dla stabilności całego rozwiązania protetycznego. W tym czasie pacjent może odczuwać pewien dyskomfort lub ból, jednak większość osób radzi sobie z tym za pomocą dostępnych leków przeciwbólowych. Po zakończeniu procesu gojenia następuje kolejny etap – umieszczenie korony protetycznej na implancie. Należy pamiętać o regularnych wizytach kontrolnych u stomatologa podczas całego procesu gojenia, aby upewnić się, że wszystko przebiega prawidłowo i nie występują żadne komplikacje.
Jakie są najczęstsze pytania dotyczące implantów zębowych w Warszawie
Wiele osób, które rozważają wszczepienie implantów zębowych w Warszawie, ma liczne pytania dotyczące tego procesu. Jednym z najczęściej zadawanych pytań jest to, jak długo trwa cały zabieg. Zazwyczaj czas potrzebny na wszczepienie implantu wynosi od jednej do dwóch godzin, jednak cały proces leczenia, w tym gojenie i umieszczenie korony, może trwać od kilku miesięcy do roku. Inne pytanie dotyczy kosztów – wiele osób zastanawia się, czy implanty są dostępne dla ich budżetu. Ceny mogą się znacznie różnić w zależności od kliniki oraz użytych materiałów, dlatego warto przeprowadzić dokładne porównanie ofert. Pacjenci często pytają również o ból związany z zabiegiem; większość osób zgłasza jedynie niewielki dyskomfort po znieczuleniu, a lekarze stosują nowoczesne metody, aby zminimalizować ból. Kolejnym istotnym zagadnieniem jest trwałość implantów – przy odpowiedniej pielęgnacji mogą one służyć przez wiele lat, a nawet całe życie.
Jakie są różnice między implantami a tradycyjnymi protezami w Warszawie
Wybór między implantami a tradycyjnymi protezami zębowymi w Warszawie to decyzja, która wymaga uwzględnienia wielu aspektów. Implanty zębowe oferują znacznie większą stabilność i komfort niż protezy ruchome. Dzięki osadzeniu w kości szczęki, implanty nie przesuwają się podczas jedzenia ani mówienia, co jest częstym problemem związanym z tradycyjnymi protezami. Ponadto, implanty pomagają zachować naturalny kształt twarzy i zapobiegają utracie kości szczęki, co jest nieuniknione przy długotrwałym noszeniu protez. W przeciwieństwie do tego, protezy mogą wymagać regularnych poprawek oraz wymiany ze względu na zmiany anatomiczne w jamie ustnej pacjenta. Koszt implantów jest zazwyczaj wyższy niż tradycyjnych protez, jednak ich długotrwałość i komfort użytkowania sprawiają, że są one bardziej opłacalnym rozwiązaniem na dłuższą metę.
Jak dbać o implanty zębowe po ich wszczepieniu w Warszawie
Prawidłowa pielęgnacja implantów zębowych po ich wszczepieniu w Warszawie jest kluczowa dla ich długowieczności oraz zdrowia jamy ustnej. Po zakończeniu procesu gojenia pacjenci powinni stosować się do zaleceń lekarza dotyczących higieny jamy ustnej. Regularne szczotkowanie zębów przynajmniej dwa razy dziennie oraz używanie nici dentystycznej są niezbędne do usuwania resztek pokarmowych i płytki nazębnej wokół implantu. Ważne jest również unikanie twardych pokarmów oraz nadmiernego obciążania implantu w pierwszych tygodniach po zabiegu. Regularne wizyty kontrolne u stomatologa pozwalają na monitorowanie stanu zdrowia implantu oraz jamy ustnej. Dodatkowo pacjenci powinni unikać palenia tytoniu oraz nadmiernego spożycia alkoholu, ponieważ te czynniki mogą negatywnie wpływać na proces gojenia i integracji implantu z kością.
Jakie są nowoczesne technologie stosowane w implantologii w Warszawie
Nowoczesne technologie stosowane w implantologii w Warszawie znacząco poprawiły jakość zabiegów oraz komfort pacjentów. Jednym z najważniejszych osiągnięć jest zastosowanie tomografii komputerowej do precyzyjnego planowania zabiegów wszczepienia implantów. Dzięki temu lekarze mogą dokładnie ocenić warunki anatomiczne pacjenta i dostosować plan leczenia do jego indywidualnych potrzeb. Kolejną innowacją jest wykorzystanie materiałów biokompatybilnych do produkcji implantów, co zwiększa ich trwałość oraz minimalizuje ryzyko odrzutu przez organizm. Technologia CAD/CAM umożliwia także tworzenie spersonalizowanych koron protetycznych w krótszym czasie i z większą precyzją. Warto również wspomnieć o zastosowaniu laserów w stomatologii, które pozwalają na przeprowadzanie mniej inwazyjnych zabiegów chirurgicznych oraz szybsze gojenie ran.
Jakie są przeciwwskazania do wszczepienia implantów zębowych w Warszawie
Decyzja o wszczepieniu implantów zębowych w Warszawie powinna być poprzedzona dokładną oceną stanu zdrowia pacjenta oraz identyfikacją ewentualnych przeciwwskazań do zabiegu. Do najczęstszych przeciwwskazań należą choroby przyzębia oraz infekcje jamy ustnej, które mogą wpłynąć na proces gojenia i integracji implantu z kością. Osoby cierpiące na cukrzycę powinny być szczególnie ostrożne, ponieważ niekontrolowany poziom cukru we krwi może prowadzić do komplikacji pooperacyjnych. Ponadto palenie tytoniu znacząco zwiększa ryzyko niepowodzenia zabiegu ze względu na gorsze ukrwienie tkanek i opóźnione gojenie ran. Inne przeciwwskazania obejmują choroby autoimmunologiczne oraz problemy ze krzepliwością krwi, które mogą utrudniać przeprowadzenie zabiegu lub prowadzić do powikłań pooperacyjnych.
Jak znaleźć najlepszą klinikę stomatologiczną oferującą implanty w Warszawie
Wybór odpowiedniej kliniki stomatologicznej oferującej implanty zębowe w Warszawie to kluczowy krok dla sukcesu całego leczenia. Przede wszystkim warto zwrócić uwagę na doświadczenie lekarzy specjalizujących się w implantologii oraz ich kwalifikacje zawodowe. Dobrym pomysłem jest poszukiwanie klinik posiadających certyfikaty potwierdzające wysoką jakość świadczonych usług oraz nowoczesny sprzęt medyczny. Opinie innych pacjentów mogą być cennym źródłem informacji – warto sprawdzić recenzje online lub porozmawiać z osobami, które już korzystały z usług danej kliniki. Kolejnym aspektem jest lokalizacja – wybór kliniki blisko miejsca zamieszkania może ułatwić regularne wizyty kontrolne oraz konsultacje po zabiegu. Koszt leczenia również powinien być brany pod uwagę; warto porównywać oferty różnych placówek oraz dowiedzieć się o dostępnych możliwościach finansowania lub ratalnego zakupu usług stomatologicznych.
Jakie są najnowsze trendy w implantologii zębów w Warszawie
Najnowsze trendy w implantologii zębów w Warszawie koncentrują się na innowacyjnych technologiach oraz poprawie komfortu pacjentów. W ostatnich latach coraz większą popularnością cieszą się implanty o zwiększonej biokompatybilności, które minimalizują ryzyko odrzutu przez organizm. Wykorzystanie technologii 3D do planowania zabiegów pozwala na precyzyjne dostosowanie implantu do indywidualnych potrzeb pacjenta, co zwiększa szanse na sukces całego leczenia. Dodatkowo, rozwój materiałów stosowanych do produkcji implantów sprawia, że są one bardziej wytrzymałe i estetyczne. Warto również zwrócić uwagę na rosnącą popularność zabiegów jednofazowych, które skracają czas leczenia i eliminują potrzebę noszenia tymczasowych protez. W klinikach w Warszawie można także zauważyć wzrost zainteresowania metodami regeneracji kości, które umożliwiają wszczepienie implantu nawet u pacjentów z ubytkiem kostnym.




